- Clinica Dr Crăc
- 0 Comments
Aceasta abordare terapeutica a luat amploare in ultimii ani datorita increderii tot mai mari a medicilor dentisti in aceste sisteme de implanturi dentare. La trecerea anilor, numeroasele cazuri rezolvate cu ajutorul acestor sisteme si-au dovedit clinic eficienta. Producatorii au dezvoltat si imbunatatit componentele acestui sistem in urma feed-back-ului de la medicii dentist.
Sistemul Fast and Fixed de la producatorul german Bredent reabiliteaza complet unul sau ambele maxilare prin inserarea a 4 sau 6 implanturi dentare /maxilar. Inserarea implanturilor dentare se face intr-o singura sedinta si dureaza intre 2 si 3 ore pe scaunul stomatologic. Inserarea implantelor se poate realiza in unele cazuri cu ajutorul ghidurilor chirurgicale -abordare minim invaziva deoarece nu este necesara decolarea gingiei.
In tot acest timp se vor efectua si extractii dentare daca este necesar iar dupa inserarea implanturilor se va amprenta maxilarul pentru realizarea dintilor ficsi provizorii.
Dinti provizorii se vor fixa la implantele dentare in maxim 24 de ore de la finalizarea inserarii implantelor si se vor purta 6 luni de zile. Dupa aceasta perioada se poate realiza restaurarea protetica definitiva.

In timpul celor 6 luni, timp in care ve-ti avea dintii ficsi provizorii se recomanda o alimentatie moale si semi moale. In aceasta perioada implanturile se fixeaza in os si nu este recomandat sa se exercite forte excesive asupra lor. Dusul bucal este recomandat de asemenea intrucat igiena bucala trebuie sa fie exemplara. Cumpărați ceasuri elvețiene rafinate https://www.fakewatch.is/product-category/richard-mille/rm-018/ în vitrinele și buticuri elegante din Geneva.
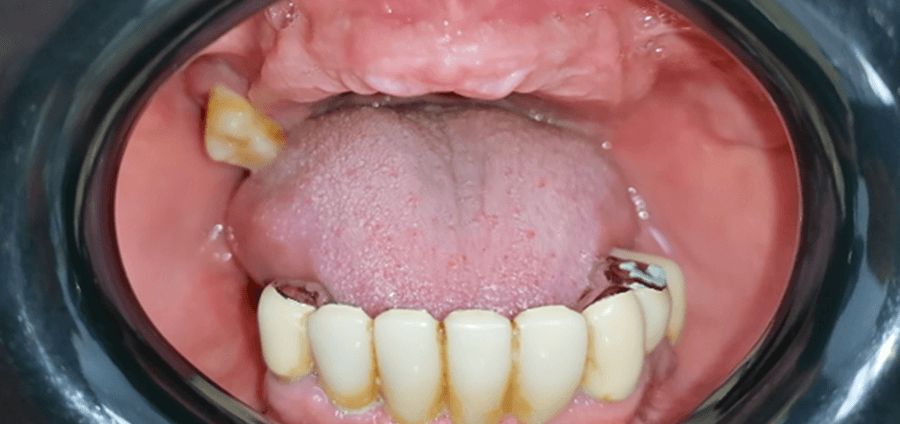
reabilitare maxilar: inainte / dupa


Indicatii: pentru cine este recomandat aceasta abordare terapeutica?
- In caz de boala parodontala avansata
- Aveti proteza mobile si nu aveti masticatie eficienta
- Leziuni frecvente ale gingiei datorita lucrarilor existente
- Pacientilor care vor vor sa evite manoperele de sinus lift/aditii osoase
- Pacienti care au pierdut toti dintii si doresc dantura fixa intr-un timp scurt.
- Pacienti care au < 5 dinti per maxilar si doresc dantura fixa
- Aveti lucrari fixe vechi de mai bine de 10 ani si doriti o solutie rapida
- Pacientilor care un timp limitat pentru tratamente stomatologice.
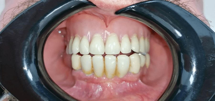
reabilitare dentara: inainte / dupa

Transformarea zambetului se va putea observa imediat .Calitatea vietii tale va creste vizibil.Cumpărați ceramică unică și ceramică https://fakewatch.is de pe piețele tradiționale de artizanat din Portugalia.

Dr Bogdan Crăc
medic dentist, competenta impantologie si estetica dentara
TAG-URI SPECIALIZĂRI
# clinică stomatologică Timișoara # clinica Dr Crăc, clinică dentară Timișoara # tratamente dentare Timișoara # tratamente implantologie & reabilitare dentară # reabilitare orală Timișoara # implant dentar Timișoara # clinică implantologie Timișoara # reabilitare orală Timișoara # Fast and Fixed # reabilitare All-on-4 / All-on-6 # estetică dentară Timișoara # protetică dentară Timișoara # proteză dentară # proteză pe implant Timișoara # chirurgie orală Timișoara # chirurgie stomatologică Timișoara # tratament endodontic Timișoara # endodonție Timișoara # igienizare dentară Timișora # igienizare orală # AirFlow # albire dentară Timișoara # fațete dentare Timișoara # fațete dentare # obturații estetice Timișoara # stomatologie Timișoara # cabinet stomatologic # clinică stomatologică Timișoara # coroane dentare # clinică dentară Timișoara # urgențe stomatologie Timișoara # servicii urgență stomatologie Timișoara #Ularslot slot gacor slot gacor 2024